
In our clinic, new patients come in daily getting a consult on how they can achieve their dream smile or to get an #Apostolified smile. We never forget to do a thorough assessment of the oral cavity, get diagnostics, xrays AND discuss the contemplated treatment plan with prices to our patients.
Getting a smile makeover IS NOT CHEAP. We will always tell our patients that should they wish to move on with the plan, this will be their investment for themselves – and we are not just talking about money here, they will also be investing their time and effort and would have to go through all the process (sometimes facing their fears too (of dentists, and or needles lol)).
Part of the items we tell them a patient should get after getting their smile makeover is a NIGHTGUARD.
What is a NIGHTGUARD?

It is a custom fit dental appliance that patients wear (mostly during night time/ sleeping) to protect the teeth from getting damaged due to grinding/bruxism or clenching while sleeping. Some patients do wear this even if they don’t have veneers just to be able to prevent progression of effect of their grinding at night.
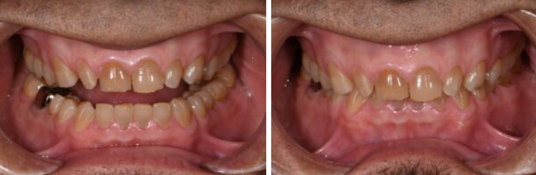
Here are some sample photos of effects of bruxism:

Without a nightguard, the effects will progress and teeth will become smaller and shorter and possible chance of having teeth sensitivity in the long run.
Why is it NECESSARY to wear a nightguard after getting veneers done?
The custom fit nightguard acts as a protective barrier for your upper and lower teeth and most especially protects the veneers from getting chipped, dislodged or have teeth mobility.
Once you have veneers, it doesn’t mean it will stay that way forever, if you don’t do something on your part to take care of it. Just like getting a brand new car – some customers place protective film to protect the paint, that’s also what a nightguard does to your teeth – in terms of protection on grinding and other factors that happen during sleeping – the time when you are unconscious.
I NEVER experienced bruxism, I don’t grind my teeth during sleeping, can I have the option not to wear a nightguard after getting veneers?
Unfortunately not. We still ALWAYS recommend our patient to get a custom fit nightguard after getting veneers/ smile makeover.
You see when you get veneers, there will be changes to your teeth – and we are not just saying the aesthetics part. Anatomy and morphology will be changed that MAY affect functionality (for the better). And when we say there will be changes, it’s true in nature that one may adjust not only to the new smile but overall bite too – which may cause some or little grinding on the first few months of getting your new veneers – again due to the adjustment period.
So with a nightguard, your adaptation period will go smoothly and help ensure/protect your veneers while going through that period.
Your veneers are expensive, it is always good to have protection – to protect your teeth investment.
Is protection of your teeth / veneers the ONLY purpose of a nightguard?
Protection of your teeth and veneers is the MAIN purpose of a nightguard BUT it can also help reduce negative side effects of bruxism such as pain in the jaw or even facial pain*.

*some cases
As much as we want to say nightguard is optional, sorry to say but we really highly advise and recommend for patients to wear it. We know it’s another adjustment on your part, but this will save you a lot! In time, you will adjust to wearing it and just like some of our other patients who were adamant about it at first – now, they just couldn’t sleep without it, as it already became a part of their routine when sleeping.