
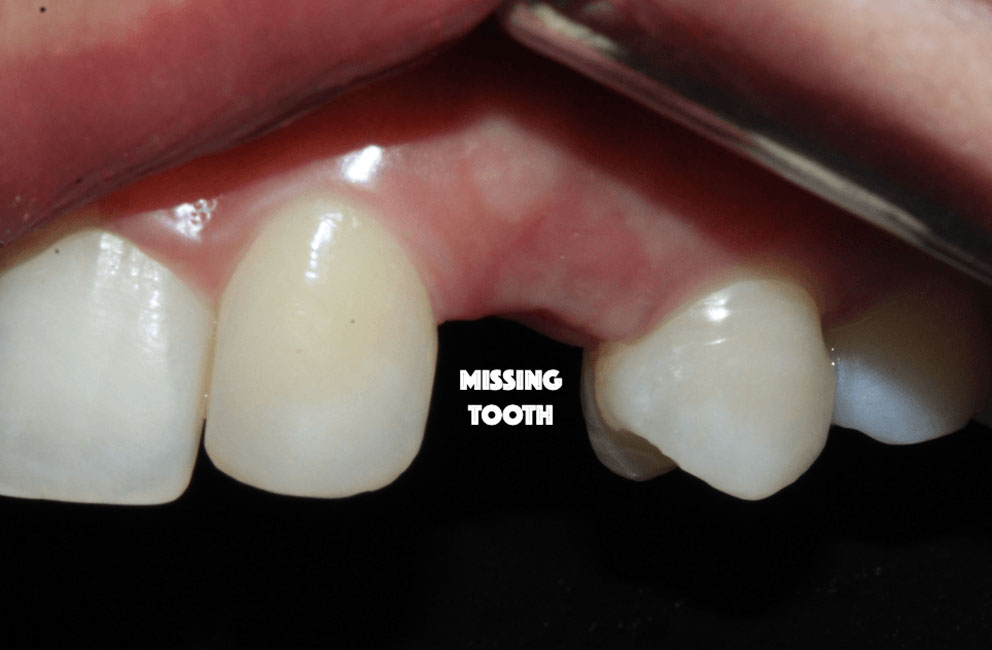
There are several options for patients with missing teeth:
- Dental Implants
- Dental Bridge
- Dentures
But what is the best option? Unfortunately, there is not one best option, generally speaking. This is because the best solution for missing teeth is not the same for every person. Finding the best option for you will require thorough assessment from a dentist. During the initial assessment, everything will be checked – xrays will be taken, some tests will be done, etc. Different factors unique to your case such as the missing teeth, its function, location, amount of jawbone and overall dental health and gums will be considered in identifying what is the best option for you.
For now, get to know more about the options that are available for missing teeth:
DENTAL IMPLANTS
This is one of the most popular options for missing teeth. Implants are inserted into the jaw where they replace a missing tooth’s root and acts like the anchor for the crown or another dental restoration. Since the location is the jaw, sufficient bone density is needed to be a good candidate for this option.
Dental implants are the strongest and most reliable tooth replacement option. Once the implant has integrated well with bone, they will not become loose or fall out. Note that patients should practice proper care so that this may last for a lifetime. Implants are also the only tooth replacement option that addresses the missing root of a tooth which helps prevent structural changes to your jaw.
DENTAL BRIDGE
A bridge is a custom device anchored to adjacent teeth that replaces one or more missing teeth. A bridge is commonly cemented to the natural teeth next to the space left by the missing tooth. This means dental bridges are fixed and a patient cannot remove it on its own. This option is able to rejuvenate strength, function and beauty of your teeth.
DENTURES
When an arch or larger row of teeth is missing, dentures may work best.
Dentures are custom-built replacements for missing teeth which can be removed. Today’s dentures are natural looking and more comfortable to wear. If you are a candidate for dentures, your facial muscles will be fully supported, your smile improved plus your ability to chew and speak will be regained. Dentures should be removed and cleaned daily to keep your gums healthy and to allow your tissues to relax.
**
There is no best option for missing teeth, just the best option and best solution for YOU!
Here at Apostol Dental Cosmetic Center, whichever option fits best for you and whichever you choose, we will make sure to make it the best!
Give us a call at 09178724929 or email us at [email protected] to schedule a consultation, learn about your options and find the solution that is right for you.
Be #APOSTOLIFIED