Helping People Solve their Insecurities through Getting an #Apostolified Fixed Bridge.

Home   |   Helping People Solve their Insecurities through Getting an #Apostolified Fixed Bridge.

Over the years, we have encountered several patients whose problems or chief complaint is having missing teeth (front teeth to be more specific), which has resulted to the development of their insecurity. These patients couldn’t talk confidently, couldn’t smile in front of other people without the need to cover their mouths, couldn’t express and laugh hard during gatherings. These kinds of patients hold back their emotions because of their current situation. They are very conscious especially when dealing with others.

So what do these patients have so as to conceal the edentulous area/s – removable partial denture or old porcelain fused to metal bridges.

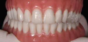
A. Sample Removable Complete Denture

B. Sample Old Porcelain Fused to Metal Bridges/Crowns

With those type of restorations above, yes they will have a complete smile BUT will it make them fully happy or confident about themselves? Most of them who visited us, they don’t.

So this is where we come in.

We have nothing against removable dentures or porcelain fused to metal bridge, it’s just that times have changed and in the event of modern dentistry, we can and are now able to help our patients feel more confidently beautiful about themselves and solve their problems.

Dental Implant is one way of restoring missing teeth, but due to lack of time and sometimes budget – they would opt for our second best offer which is zirconia fixed bridge.

What really is a fixed bridge? It is a custom device anchored to adjacent teeth that replaces one or more missing teeth. A fixed bridge is commonly cemented to the natural teeth next to the space left by the missing tooth/teeth.

How is it different from a removable partial denture? Fixed bridge is literally fixed – fixed or cemented to the present natural teeth which means the patient or even any dentist cannot remove it easily unlike the removable partial denture which can be removed at any time, at any moment as the patient wish.

So why and how can we say that getting an #Apostolified fixed bridge can help solve our patients insecurities? Here are some reasons:

  1. We make sure that the restoration will look very natural. Meaning it looks like real teeth, not fake, hence people (even the patient itself) wouldn’t know they have missing teeth.
  2. Patients will not be scared of it being loose or suddenly just fall off out of nowhere– which can happen with removable dentures case, most especially if it’s loose or does not fit well.
  3. Our fixed bridge especially zirconia material doesn’t stain, or get discolored, no black margin lines (unlike porcelain fused to metal).
  4. It is very durable and you may eat normally using this type of bridge.
  5. It will complement your face and even your personality, that’s what we call dentofacial aesthetics which our very own Dr. Jonas Apostol is an expert of

We are proud to say that not only have we changed many smiles, but also their lives. Our patients can better express themselves more and you can see genuine happiness in them after the smile transformation.

Here are some of our works for your reference:

Though we have created a lot of successful zirconia fixed bridge cases, it will always differ from one patient to another – assessment is always the key and is always the first step.

We hope to see you here at the clinic!

Footer Logo - Top Dental Clinic Makati | Apostol Dental Cosmetic Center
IT’s ALL ABOUT YOU!
Become the better version of yourself. Have a confidently beautiful #Apostolified smile!
Contact Us
   Apostol Dental Cosmetic Center Ground Floor Electra House Building, Esteban St., Legaspi Vill. Makati City 129
Your #Apostolified Smile awaits you!
© 2026 Apostol Dental Cosmetic Center. All Rights Reserved.